
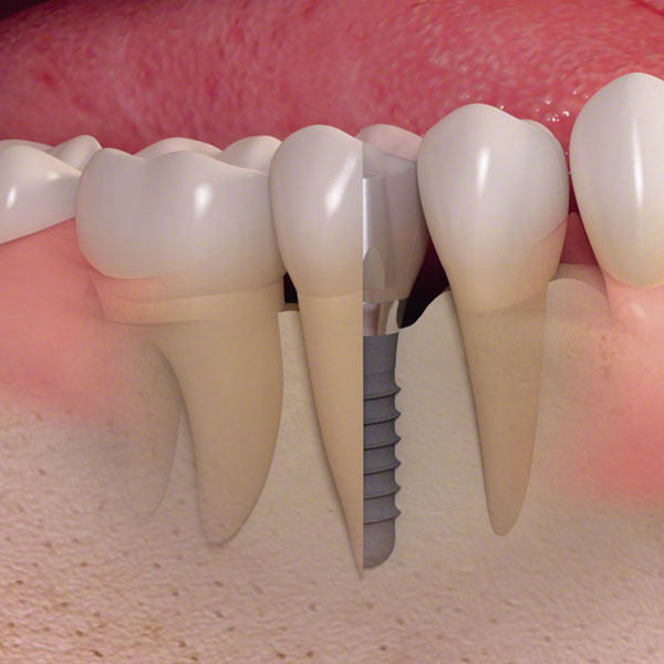
Implantate bestehen aus Titan oder Keramik und werden nach dem Vorbild der Natur als künstliche Wurzel zur Befestigung neuer Zähne genutzt. Die in unserer Praxis verwendeten Implantate bestehen aus Reintitan oder Zirkonoxid, Materialien, die vom menschlichen Körper gut angenommen werden. Wir verwenden lediglich Premiummaterialien von Markführern mit sehr langer klinischer Erfahrungen. Sie werden operativ in einen zahnlosen Kieferbereich implantiert. Auf den Implantaten wird nach einer individuellen Einheilungszeit der Zahnersatz – Kronen, Brücken oder Prothesen – befestigt. Die Zahnimplantate haben etwa die Größe einer natürlichen Zahnwurzel.
Implantate wurden seit ihrer Entwicklung aus reinem bzw. hochreinem Titan, das wie körpereigenes Gewebe angenommen wird, hergestellt. Gründe für den Einsatz von Titan sind dessen spezifische Eigenschaften: mechanische Festigkeit, Korrosionsbeständigkeit und Biokompatibilität. Seit über 40 Jahren liegen fundierte, weltweite Erkenntnisse und Erfahrungen mit Titanimplantaten in der Zahnheilkunde vor. Hochreines Titan ist besonders gewebefreundlich und bildet mit dem Knochen einen sicheren Verbund. Zu technisch reinem Titan Grad 4 sind keine Allergien bekannt.
Die Ansprüche sensibler Patienten an die Verträglichkeit ihrer Versorgungen steigen stetig. In unzähligen Untersuchungen wurden allergene Eigenschaften vieler in der konventionellen Prothetik verwendeten Materialien untersucht. Metallfreie Keramiken wie Zirkonoxid sind in weiten Bereichen der zahnärztlichen Prothetik zum Material der Wahl für langfristige, ästhetisch anspruchsvolle Versorgungen geworden.
Relativ neu ist die Verwendung von Zirkondioxid in der Implantologie. Durch seine mechanischen Eigenschaften wie hohe Biegebruchfestigkeit und Formstabilität wird Zirkondioxid auch in der Implantologie eingesetzt. Implantate aus Zirkondioxid sind absolut metallfrei und bieten bei immunologisch vorbelasteten Patienten eine Alternative zu Titan-Implantaten. Für metall- und strahlungssensible Patienten stellen Implantate aus Zirkonoxid eine neue Versorgungsmöglichkeit dar.
Implantate aus Zirkondioxid haben eine ausgezeichnete Gewebeverträglichkeit, sind biokompatibel und verhalten sich biologisch neutral. In kritischen Situationen kann das Team aus Chirurg, überweisendem Zahnarzt und Zahntechniker bei Implantatlösungen komplett auf den Einsatz von Metall verzichtet werden.
Die Implantation von Keramik Implantaten erfolgt in unserer Praxis unter der bewährten Systematik und Operationstechnik wie bei Titanimplantaten.